⚠裁断済 歯列矯正治療の失敗と再治療 : 臨床現場からのレポート ☆ 歯列矯正治療の失敗と再治療| 歯科総合出版社 デンタルダイヤモンド社
(3019件)
Pontaパス特典
サンキュー配送
9280円(税込)
93ポイント(1%)
Pontaパス会員ならさらに+1%ポイント還元!
送料
(
)
3002
配送情報
お届け予定日:2026.04.21 13:25までにお届け
※一部地域・離島につきましては、表示のお届け予定日期間内にお届けできない場合があります。
ロットナンバー
470362124
お買い物の前にチェック!
Pontaパス会員なら
ポイント+1%
ポイント+1%
商品説明


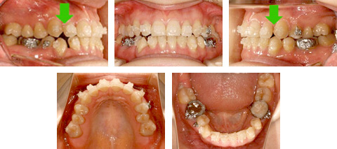
裁断しています「歯列矯正治療の失敗と再治療 : 臨床現場からのレポート」菅原 準二定価: ¥ 17000#菅原準二 #菅原_準二 #本 #自然/医療・薬学・健康
| カテゴリー: | 本・雑誌・漫画>>>本>>>その他 |
|---|---|
| 商品の状態: | やや傷や汚れあり","目につく傷や汚れがある |
| 配送料の負担: | 送料込み(出品者負担) |
| 配送の方法: | 未定 |
| 発送元の地域: | 大阪府 |
| 発送までの日数: | 4~7日で発送 |
レビュー
商品の評価:




4.4点(3019件)
- ピヨたらこ
- 母が若い頃によく食べたと言うのでネット検索でこちらを見つけました。 かなり楽しみにしていましたが少し古い?とあまり喜んでいませんでした。
- 櫛橋大輔
- アロワナのえさ用に購入しました 1匹ずつ取り出せるので便利です。食いつきも良いです。
- あやのママ0115
- 大変おいしく頂きました。また販売お願いします。多分3回程頂いたと思うのですが家族全員がなくなって非常にさびしく思っておりますので是非又の販売宜しくお願いします。食べられないと思うと一層食べたくなるものですね。
- ljy8171
- 注文の翌日に届きました。 身が薄いとはいえ、300gとなると結構な量ですね。 皮は電子レンジで30秒程度加熱して軽く塩を降れば食べられます。
- mami★
- 自分は大の梅好きです。 この品は、軟骨の歯ごたえも楽しめて良かったです。 ただ少ししょっぱいので、高血圧の人には注意かな。 あと食べ過ぎちゃうので、少しづつ小皿に出して楽しむといいかと。 梅の風味が強いので、日本酒・焼酎にはあいますね。 自分はビールが大嫌いなので割愛します。 ウィスキーなどにはあいません。 お茶漬けでも楽しめます。
- よぴよぴこん
- 期待はずれでした。ホヤは宮城県が良いかな?
- ランママ0118
- リピート買いです。 身に厚みがあり、とっても美味です。
- ごりち382
- 一口サイズでしたが、もう少しおおきければよかったのですが。 あんかけにしておいしく頂きました。
- 神無月 青3433
- 写真のように2〜3個届くものと思っていたら、何と大きな赤ナマコが1個でやってきました。早速、大根おろしとポン酢で4人で頂きましたが、とても突出しとは思えないくらいの量がありました。
- Barbie★★
- なんとも言えない味の鮒すしを食べ満足しました。初めて食べたのですが、また機会があれば、もっとおいしい鮒すしを食べてみたい。
- オガ3786
- 身が薄いということで、B品になってますが 皮と身のバランスで食すると 逆に鮭食べてるなと感じます (魚は、皮.血合い等大好きなので) このボリュームでこの値段、絶対に買いだと思います。 皮が気になる方は、一度焼いて、焼いたらジュっと日本酒に浸けて、30分位したら もう一度焼く(表面が乾く程度)・・・・ 手間は掛かりますが・・・・ たまりません 普通に焼いて食しても美味し。
- シートン2437
- 身が薄いとありますが、幾つかのお店で購入してきた経験から言うと普通な印象でした。薄いものもありますが、ぶっちゃけそういう表記のない他所の商品でも身の厚さなんてバラバラな事が多々あります。 味もまあ普通というところかと。塩味が控えめで比較的硬い歯ごたえがあります。柔らかい身のものは簡単に食べられる=食べ過ぎてしまうので個人的にはこのくらいが好みです。変に脂ぎっていないのも好印象でした。
- 美咲2804
- 以前、料理店でいただいて依頼大好きです。でも、一般の魚屋では見かけた事がなく、このサイトではじめてお取り寄せをいたしました。期待したとおりとても美味しかったです。
- K−さか
- 今回、早々の送付だったのですが、今回は抱卵又は白子を持っているグレを、 期待していたのですが、下処理済のグレが、送付されてきて、残念でした。
すべて見る
お店の情報
7,367
連絡・応対
4.3
配送スピード
4.3
梱包
4.3










